هیستوشیمی (HC)
آخرین بروزرسانی: 1397/11/01
بافت شناسی یا هیستولوژی یکی از مهمترین علوم مرتبط با پزشکی - چه در بخش تشخیص و درمان و چه در بخش تحقیقات - است. بافت های خارج شده از بدن انسان یا مدل حیوانی قبل از رنگ امیزی میبایست آماده سازی و پردازش شوند که متداولترین روش فیکس کردن در فرمالین و تهیه ی بلوکهای پارافین هست. این بلوک ها قابل نگهداری در دمای اتاق تا مدت زیادی میباشند ودر موقع مقتضی امکان تهیه ی برش بافتی بر روی اسلاید ورنگ امیزی وجود دارد . همچنین این روش سازگار با انواع رنگ آمیزی های هیستوشیمیایی و ایمونوهیستوشیمیایی نیز میباشد . این نوع پردازش به دلیل استفاده از الکلهای مختلف سازگار با رنگ امیزهای مرتبط با چربی و برخی رنگ امیزیهای حیاتی نمیباشد که در اینصورت بافت بعد از پردازش سریع غیر الکلی در دستگاه کرایو استات برش داده میشود در مطالعات تحقیقاتی از این متد بیشتر برای مطالعه قطرات چربی و رنگ آمیزی های هیدروفوب استفاده میشود. همچنین برخی رنگ آمیزی ها ی فلورسانت برای بررسی پتانسیل غشا و یا مقدار رادیکال های آزاد بافتی واندامکها نیز استفاده میشود. این آزمایشگاه با همکاری ازمایشگاههای دیگر شبکه ازمایشگاهی فناوریهای راهبردی خدمات پردازش هر دو نوع بافت کرایو و پارافینه و همچنین انواع رنگ آمیزی ها را ارائه می دهد که در بخش خدمات رنگ آمیزی ها ی بافتی به آن ها اشاره شده است.
برای تصویر برداری از میکروسکوپهای BM-600 LED - Axiom – Germany استفاده میشود.
جزئیات پروتکل ها:
جزئیات پروتکل ها:
Formalin Fixed Paraffin Embedded Tissue ...
How To Cut Crayons From Fresh Texture
Paraffin preparation
نمونه های انجام شده:

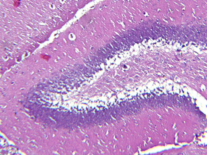
H. & Eosin Staining of Mice Hippocampus

H. & Eosin Staining of Mice Soleus Tissue

H. & Eosin Staining of Rat Subcotaneus Adipose Tissue

Trichrome Masson Staining of Rat Heart Tissue
